Jako třetí na světě jsme při operaci skoliózy využili nejmodernější páteřní systém

17.5.2021

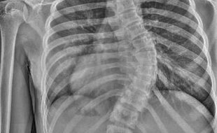
Náš tým operatérů z oddělení chirurgie páteře dostal v minulých dnech příležitost vyzkoušet v praxi nový páteřní systém, který splňuje nejpokrokovější požadavky korekce páteře a nabízí dosud nejmodernější způsob řešení dětské skoliózy. Naši lékaři operovali pomocí tohoto systému dvě dívky ve věku 13 a 14 let. U obou se zcela zásadně podařilo nejen srovnat páteř, ale i vrátit zrotované obratle do správného postavení, a odstranit tak nechtěné kosmetické deformity.

Systém Ennovate, na jehož vývoji se významně podílel přednosta Ortopedické kliniky Fakultní nemocnice Brno prof. MUDr. Martin Repko, zatím není na trhu chirurgických nástrojů volně dostupný. Jeho německý výrobce, společnost B. Braun, jej totiž ve spolupráci s odborníky z celého světa stále zdokonaluje a s žádostí o zpětnou vazbu se nyní obrátil také lékaře našeho oddělení chirurgie páteře.

Jsme rádi, že nám náš dlouholetý partner umožnil tento systém vyzkoušet a že ho zajímá náš názor. Tohle instrumentárium funguje na principu, který se využívá už řadu let, ale tento nový systém je sofistikovanější a efektivnější než jakýkoliv jiný, s kterým jsme kdy pracovali. Největší přínos vidím v tom, že spojení nástavců se šrouby zavedenými do páteře je hodně pevné a umožňuje takřka stoprocentní derotaci páteře.“

MUDr. David Buzek, primář oddělení chirurgie páteře KHN

Srovnáním a navrácením zrotované páteře do správné polohy dochází k odstranění kosmetické deformity. Tou je nejčastěji hrb nebo asymetrie prsou u dívek. Dalšími přednostmi uvedeného systému jsou podle karvinských lékařů snadnější manipulace a méně šroubování.

Nový systém, který by odpovídal nejmodernějším požadavkům na korekci deformit páteře, se v německém Tuttlingenu vyvíjí už několik let. Celosvětově první operaci dětské skoliózy pomocí systému Ennovate provedl  koncem roku 2020 v brněnské fakultní nemocnici profesor Repko, dále byl systém využit v jedné z německých nemocnic a ve třetím případě dorazil k nám do Karviné.

 

Úvodní foto: Ennovate® Spinal System Brochure, Aesculap Spine