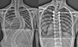
Dnes uplynulo 20 let od otevření Centra nemocí páteře a pohybového aparátu v Karvinské hornické nemocnici. Toto úzce specializované pracoviště se zabývá komplexní problematikou chirurgického ošetření nemocí celé páteře. V rámci České republiky je jedním ze tří pracovišť, které pravidelně provádí operace dětských skolióz, a rovněž se řadí do sítě 22 akreditovaných spondylochirurgických pracovišť.
„Za těch 20 let jsme si každopádně vytvořili dobrou pověst nejen v kraji, ale i v celé republice. Pacienti za námi přijíždějí z celého Česka, což považujeme za známku jejich spokojenosti. Vytvořili jsme svou filosofii pracoviště postavenou na kvalitní a individuální péči o pacienty. Úspěch mají i naše přednášky na odborných kongresech. Do budoucna je pro nás zásadní udržovat kvalitu péče a počty ošetřených pacientů, sledovat nové trendy a zavádět nové postupy,“ říká primář MUDr. David Buzek.
Oddělení chirurgie páteře se skládá z 15lůžkové stanice, JIP a moderní ambulantní části, která se nachází v přízemí nové modulární budovy. V současnosti na něm působí čtyři lékaři. Prvním primářem oddělení byl MUDr. Zbyhněv Gleta, druhým MUDr. Dušan Sýkora a třetím MUDr. David Buzek, který vede oddělení od roku 2008.
Oddělení je už 17 let akreditovaným spondylochirurgickým pracovištěm. Tuto akreditaci uděluje Česká spondylochirurgická společnost, založená v roce 1999. Rozhodujícím faktorem pro udělení akreditace je počet provedených operací páteře na daném pracovišti. Smyslem sítě akreditovaných pracovišť je centralizace páteřní operativy do specializovaných center.
