Spektrum poskytované péče
Oddělení bylo založeno v roce 2002, jako úzce specializované pracoviště, které se zabývá komplexní problematikou chirurgického ošetření nemocí celé páteře. Oddělení se skládá ze standardní lůžkové části, jednotky intenzivní péče a ambulantní části.
Lůžkové oddělení disponuje 14 standardními lůžky a jedním 1lůžkovým klimatizovaným nadstandardním pokojem. 2lůžkové pokoje s vlastním sociálním zařízením v moderním designu jsou vybaveny LCD televizí.
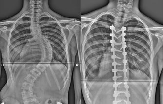
V posledních letech byl v oblasti páteřní chirurgie učiněn významný pokrok. Pracoviště využívá všech nových technologií, které umožňují provádět jak jednoduché, tak i složité operace na páteři. Na pracovišti jsou ošetřováni hlavně pacienti s degenerativním onemocněním, dále to jsou rozlišné deformity páteře následkem úrazu či získané deformity, akutní traumata, nádorová onemocnění, osteoporóza a jiná onemocnění. Oddělení se specializuje na problematiku skolióz a mininvazivní operační přístupy. Jedná se tedy o celé spektrum moderní spondylochirurgie, kromě traumat s míšní lézí. Za rok odoperuje cca 300 páteřních výkonů.
Jednotka intenzivní péče oddělení chirurgie páteře a ortopedie disponuje 8 lůžky a poskytuje péči pacientům po složitých operacích páteře a náhradách velkých kloubů (kyčel, koleno, rameno, hlezno). více informací zde
Ambulantní péče – v ambulanci chirurgie páteře je zajišťována standardní diagnostika onemocnění pohybového aparátu, konzervativní terapie a dlouhodobé sledování pacientů. Dále pracoviště poskytuje konziliární a konzultační činnost. Součástí ambulantní péče je i protetické ošetření. V ambulantní části je provozována skoliotická poradna, kde jsou sledovány děti se skoliózou z celého Moravskoslezského kraje. více informací zde
Anesteziologická ambulance – zajišťuje komplexní předoperační vyšetření, včetně základních odběrů, u pacientů indikovaných k operačnímu řešení. více informací zde
Co si vzít s sebou do nemocnice
Přineste si s sebou:
- občanský průkaz
- průkaz pojištěnce zdravotní pojišťovny
- doporučení k hospitalizaci v případě, že se jednalo o plánovanou hospitalizaci
- odborné nálezy, pokud je máte
- léky, které pravidelně užíváte, s rozpisem jejich užívání
- hygienické potřeby a ručník
- pyžamo, župan, ponožky, domácí obuv
Nenoste s sebou:
- větší finanční obnos
- cenné předměty
- zbraně
Nadstandardní pokoj
Oddělení má k dispozici jeden 1lůžkový pokoj s nadstandardním vybavením. Pokoj v moderním designu s vlastním sociálním zařízením je klimatizovaný, vybavený LCD televizí, bezplatným Wi-fi připojením, ledničkou, varnou konvicí. Hospitalizovaný pacient na nadstandardním pokoji má možnost výběru stravy z předložené nabídky nutričním terapeutem, která odpovídá naordinované dietě. Návštěvy na nadstandardním pokoji jsou po celý den, maximálně však do 21.00 hodin.
Cena pobytu v pokoji s nadstandardním vybavením je 800 Kč za den, přičemž den příjmu a den propuštění z nemocniční péče se započítává jen jednou, tudíž se považuje za jeden den.
Budete-li mít v případě plánované hospitalizace zájem o pobyt na nadstandardním pokoji, rezervujte si jej předem telefonicky na tel. čísle 596 380 253.


Informace o zdravotním stavu pacienta
Informace o zdravotním stavu pacienta podává ošetřující lékař po předchozí domluvě.
Informace o návštěvách
Návštěvy jsou v naší nemocnici denně od 14.00 do 16.30 hodin. Na nadstandardních pokojích po celý den, maximálně však do 21.00 hodin. Na JIP denně v době od 14.00 do 16.30 hod., maximálně 30 min. během návštěvního dne, pokud tomu ovšem nebrání provoz oddělení a zdravotní stav pacienta. V den operace jsou návštěvy povoleny jen se souhlasem lékaře.
Respektujte, prosím, soukromí ostatních pacientů a doporučení ze strany zdravotnického personálu, která jsou v zájmu pacientů.
V zájmu ochrany malých dětí, které by mohly být vystaveny riziku infekce, nedoporučujeme návštěvy s dětmi do 6 let věku, na JIP do 10 let věku.
Bližší informace najdete v Návštěvním řádu.
Služby v areálu nemocnice
Občerstvení
Bufet s občerstvením a příjemným posezením se nachází v přízemí nemocnice. Nabízí široký výběr potravin, včetně teplé stravy a ovoce. Ve svém sortimentu má rovněž denní tisk, časopisy a základní drogistické zboží. Poskytuje rovněž roznáškovou službu po pokojích. V areálu nemocnice jsou k dispozici nápojové a potravinové automaty.
Internet
Klienti mají možnost bezplatného připojení k internetu přes bezdrátovou síť Wi-fi. Síť je připojena přímo k internetu (bez firewallu) a zabezpečení je tak přenecháno na připojený notebook.
Lékárna
Držitelům klientské karty poskytuje:
- až 50% slevu z doplatků hrazených z veřejného zdravotního pojištění, a to bez omezení věku
- trvalou 10% slevu na antikoncepční přípravky
- 3% slevu při každém nákupu volně prodejného sortimentu, jejíž výše se automaticky pokaždé načítá na kartu a klient tak může naspořenou částku kdykoliv při nákupu volně prodejného sortimentu uplatnit.
Klientskou kartu vystaví zdarma na počkání.
Všem klientům nabízí:
- zdarma službu spojenou s rozvozem nutričních přípravků přímo do domu (bytu),
- zdarma konzultaci s klinickým farmaceutem, který v soukromí lékárny pomůže klientům vyřešit problémy s užíváním léků (kombinace léků a kombinování s volně prodejnými léky). Konzultaci je možné objednat na telefonním čísle 724 370 843,
- výdej léčiv na lékařský předpis i na volný prodej, širokou nabídku doplňkového sortimentu a zdravotnického materiálu (pomůcky při inkontinenci, ortézy, bandáže a kompresní punčochy, masážní pomůcky, stomické pomůcky, prsní epitézy a prádlo po ablaci prsou, bezlepkové potraviny …),
- možnost platit platebními kartami Visa, Master Card, jcb Cards, American expres, dineras Club International.
Lékárna přijímá poukázky a karty firem Sodexo Pass Česká republika, Edenred CZ a Up Česká republika.
Platební karty
Možnost platby za hospitalizaci prostřednictvím platebních karet v pokladně nemocnice – v pracovní dny od 6.30 do 11.30 hod.
Optika
Široký výběr brýlových obrub, slunečních brýlí a doplňků nabízí optika v 3. patře poliklinické části nemocnice.
Vnitřní řád
Celé znění Vnitřního řádu KHN a.s.
Nakládání s osobními údaji
Vedení nemocnice sděluje pacientům a klientům nemocnice, že rozsah osobních údajů vedených o nich ve zdravotnické dokumentaci a v nemocničním nebo lékárenském informačním systému odpovídá rozsahu údajů, které jsou požadovány právními předpisy České republiky, a to zejména zákony o zdravotních službách, o specifických zdravotních službách o léčivech a jejich prováděcími předpisy, např. vyhláškou o zdravotnické dokumentaci.
Pokud se v dokumentaci vyskytují i další údaje nepožadované právními předpisy, např. tel. číslo nebo e-mailová adresa, byly dobrovolně poskytnuty pacientem pro jejich praktickou využitelnost v komunikaci zdravotnické zařízení-pacient.
Pověřencem pro ochranu osobních údajů naší nemocnice je MUDr. Tomáš Canibal, tel.: +420 596 380 441, e-mail: canibal@khn.cz
Pooperační pokyny pro pacienty
Pooperační pokyny pro pacienty po operaci krční páteře
Po operacích krční páteře pacienti dodržují režim v krčním límci, většinou na období 6 týdnů. Vždy však záleží na individuálním posouzení ze strany operatéra, který jediný může délku imobilizace v krčním límci změnit. Límec nosíte ve 24 hodinovém režimu, tzn. že jej nesundáváte ani na spaní. Límec můžete sundávat na hygienu, ale vyvarujte se při ní ohýbání a otáčení hlavy. Fyzioterapeut Vás naučí několik základních cviků, tzv. izometrických cviků, které jsou zaměřeny na posílení svalů krku. Při těchto cvicích se hybnost krční páteře nerozcvičuje. Důležitá je zraková kontrola při cvičení před ZRCADLEM. Součástí rehabilitace je cvičení ramenních kloubů a celých horních končetin. Držení ramen je díky své návaznosti na krční páteř velmi důležitou součásti pooperačního režimu. Chybou je zvednutí ramen směrem k uším, kdy dochází k přetěžování trapézových svalů a svalů zadní části krční páteře. Toto postavení ramen podporuje chybný záklon hlavy. Důležitá je správná poloha a fixace brady v krčním límci. Intenzivnější rehabilitaci s postupným rozcvičováním hybnosti krční páteře nezačínáme dříve než po 6 týdnech od operace. Vždy však po kontrole u vašeho operatéra.
Rozhodně nedoporučujeme rozcvičovat krční páteř samostatně, bez dohledu odborníka.
Cvičení – bezprostředně po operaci pod vedením fyzioterapeuta, dechová a cévní cvičení, cviky zaměřené na posílení svalového korzetu, na zlepšení funkce hlubokého stabilizačního systému ( břišní svaly, pánevní svaly, hluboké svaly zad), izometrické cvičení svalů krku, cvičení je nutno pravidelně opakovat, minimálně 2x denně, kontraindikací jsou ROTAČNÍ cviky.
Vstávání z lůžka – vstávat vždy přetočením na bok s pokrčenými DKK (dolní končetiny), hlava musí být neustále v prodloužení páteře, nesmí se uklánět, předklánět ani zaklánět. Pro lepší kontrolu držení hlavy ji můžeme přidržet dlaní „spodní“ horní končetiny.
Sportovní aktivity – určí operatér při první pooperační kontrole. Vždy však je nutno přihlédnout ke svému aktuálnímu zdravotnímu stavu a ke svým subjektivním pocitům.
Prevence vertebrích potíží do budoucna – dodržovat pokyny operatéra a fyzioterapeuta, pravidelně cvičit, nepřetěžovat páteř nevhodnými pohybovými stereotypy, pravidelně opravovat své držení těla, nezvedat těžká břemena, nesetrvávat dlouhodobě ve statické zátěži (dlouho nesedět – často střídat sed, stoj, chůzi).
Stáhnout - Pooperační pokyny pro pacienty po operaci krční páteřePooperační pokyny pro pacienty po operaci meziobratlové ploténky
Po operacích meziobratlové ploténky pacienti dodržují šetřící režim v bederním pásu s vyloučením sedu většinou na období 6 týdnů. V pooperačním období operovanou páteř nerozcvičujeme. Zakázány jsou úklony, předklony a rotační (spirálové) pohyby páteře. V pacientově zájmu by mělo být naučit se cvičební jednotku, pravidelně cvičit 2x denně a dbát pokynů a doporučení fyzioterapeutů a ošetřujícího personálu.
Řídíme se těmito pokyny
Vstávání z lůžka – 6 týdnů po operaci vstávat vždy přetočením přes břicho rovnou do stoje, s již upnutým bederním pásem/ je- li doporučen lékařem/, do stoje přecházet s napřímenou páteří – neprohýbat se v bedrech, důležitá je opora o horní končetiny. V domácím prostředí lehat do postele z mírného pokleku (nemožnost výškově nastavitelného lůžka).
Sed – po dobu 6 týdnů nesedět, s výjimkou vzpřímeného sedu na WC, po uplynutí této doby je možno sedávat na nezbytně nutnou dobu. (jídlo, wc .. atd) v rozmezí několika jednotek až desítek minut, podmínkou je sed vzpřímený (ne kulatá záda), nedoporučuje se dlouhodobá statická zátěž (např. 2 hodiny sedu u televize nebo v autě),nesedět s překříženými DKK ani s lokty opřenými o kolena.
Chůze a pohyby – vzpřímená chůze v bederním pásu, s uvolněnými rameny (nezvedat ramena k uším), chůze po schodech s přidržením zábradlí, neprovádět prudké pohyby, rotace v bederní páteři, neprovádět kulatý předklon, ten lze nahradit podřepem nebo nakročením jedné dolní končetiny s napřímenými zády, spodní prádlo a ponožky doporučujeme oblékat v leže na zádech nebo ve stoje (možno využít oblékač ponožek), osobní hygienu provádět ve stoje s pokrčenými DKK, při sprchování ve stoje je možno krátkodobě bederní pás odložit nádobí lze umývat v rovném předklonu s čelem opřeným o linku (opření hlavy odlehčí bederní páteř), osobní hygienu provádět ve stoje s pokrčenými DKK nebo v sedu na židli, při sprchování ve stoje je možno krátkodobě bederní pás odložit.
Pomůcky
- bederní pás – většinou na období 6 týdnů
- francouzské berle – pokud jsou doporučeny, tak vždy 2 berle pro odlehčení
- bederní páteře a pro správné držení těla
- nástavec na WC pro postavy vyšší 170 cm
- koupelnu a vanu (sprchový kout) je vhodné vybavit protiskluzovou podložkou a madly
- na spaní doporučujeme vyšší a spíše tvrdší lůžko.
Zvedání a nošení lehkých předmětů – do budoucna předměty ze země zvedat z podřepu a nikoliv z předklonu, je možno nosit nákup (základní potraviny) rozložený symetricky do obou rukou nebo využít batoh, v prvních 3 měsících max. 5kg.
Doporučená aktivita a sporty – určí operatér po spondylochirurgické pooperační kontrole. Nedoporučuje se provádět jednostranně přetěžující sporty jako je golf, tenis, sporty s otřesy, prudkými pohyby a rotacemi trupu, těžší práce na zahradě jako je rytí, kosení kosou apod. vždy však záleží na individuálním posouzení, na kvalitě svalového korzetu a na intenzitě zátěže.
Sexuální život – volit vhodnou polohu, která nepůsobí bolest (spíše v leže na zádech), s větší aktivitou partnera.
Cvičení – bezprostředně po operaci pod vedením fyzioterapeuta, dechová a cévní cvičení, cviky zaměřené na posílení svalového korzetu, na zlepšení funkce hlubokého stabilizačního systému (břišní svaly, pánevní svaly, hluboké svaly zad), protažení zkrácených svalů, balanční cvičení, cvičení je nutno pravidelně opakovat do kontroly u spondylochirurga, minimálně 2x denně 3měsíce kontraindikací jsou ROTAČNÍ cviky PŘEDKLON k zemi a zvedání natažené DK v leže na zádech.
Prevence vertebrogenních potíží do budoucna – dodržovat pokyny operatéra a fyzioterapeuta, pravidelně cvičit, nepřetěžovat páteř nevhodnými pohybovými stereotypy, pravidelně opravovat své držení těla, nezvedat těžká břemena, nesetrvávat dlouhodobě ve statické zátěži (dlouho nesedět – často střídat sed, stoj, chůzi).
Stáhnout - Pooperační pokyny pro pacienty po operaci meziobratlové ploténkyPooperační pokyny pro pacienty po operaci skoliozy
Operace skoliosy je náročný chirurgický výkon, který ovlivní celý organismus pacienta. Pro obnovení funkce pohybového aparátu musí pacient dodržovat doporučení daná operatérem a fyzioterapeutem. Preferujeme individuální přístup ke každému pacientovi, ale pro lepší orientaci a zapamatování mohou pomoci tyto pokyny a stručný nárys cvičební jednotky.
Řídíme se těmito pokyny
Vstávání z lůžka – vstávat vždy přetočením na bok s pokrčenými DKK (dolní končetiny), nikdy nevstávat švihem – sklapovačkou.
Stoj a sed − ve stoji i sedu je důležité dodržovat zásady správného držení těla, tak jak Vás naučí fyzioterapeut. Zvláště v sedu je důležité dodržovat určité zásady. Výšku židle upravit tak, aby stehna směřovala mírně šikmo dolů. Nesedět na měkké nízké podložce /sedačka, křeslo/ a nesedět s „kulatými zády“. V časném pooperačním období doporučujeme sedět maximálně 20 minut a pak polohu změnit.
Chůze a pohyby – vzpřímená chůze, s podsazenou pánví, s povolenými ramenními klouby (nezvedat ramena k uším), lopatky jsou staženy mírně k sobě a dolů, chůze po schodech s přidržením zábradlí, neprovádět prudké pohyby, neprovádět výskoky a nerotovat se v páteři, neprovádět kulatý předklon, ten lze nahradit podřepem nebo nakročením jedné dolní končetiny s napřímenými zády.
Zvedání a nošení lehkých předmětů – do budoucna předměty ze země zvedat z podřepu a nikoliv z předklonu. Vhodné je především používat batoh na záda. Školní děti by měly mít dvoje učebnice.
Zvedání a nošení lehkých předmětů – do budoucna předměty ze země zvedat z podřepu a nikoliv z předklonu. Vhodné je především používat batoh na záda. Školní děti by měly mít dvoje učebnice.
Doporučená aktivita a sporty - určí operatér na první pooperační spondylochirurgické kontrole.
Cvičení – bezprostředně po operaci pod vedením fyzioterapeuta, dechová a cévní cvičení, cviky zaměřené na posílení svalového korzetu, na zlepšení funkce hlubokého stabilizačního systému (břišní svaly, pánevní svaly, hluboké svaly zad), protažení zkrácených svalů, balanční cvičení, cvičení je nutno pravidelně opakovat, minimálně 2x denně. Cvičit i doma po propuštění z nemocnice, cviky provádět do bolesti, pomalu, plynule bez pérovacích a dotahovacích pohybů.
Prevence potíží do budoucna – dodržovat pokyny operatéra a fyzioterapeuta, pravidelně cvičit, nepřetěžovat páteř nevhodnými pohybovými stereotypy, pravidelně opravovat své držení těla, nezvedat těžká břemena, nesetrvávat dlouhodobě ve statické zátěži (dlouho nesedět – často střídat sed, stoj, chůzi).
Péče o jizvu – po zhojení je vhodné provádět masáž jizvy dle instrukcí fyzioterapeuta, tak aby jizva nestahovala okolní tkáně a byla volně pohyblivá proti podkoží. Po úplném zhojení, je možné používat krém na jizvy.
Cvičební jednotka v časném stadiu po operaci skoliozy
- Dechová cvičení – leh na zádech, ruce položíme na břicho, nádech nosem /bříško se zvedá. Nahoru, roztahovat dolní žebra jakoby se otevíral deštník/,výdech ústy co nejdelší s hláskou šššššššš.
- Nádech volně, s výdechem přitáhnout obě špičky, kolena propnout k podložce a stáhnout hýždě, ramena zatlačit k podložce.
- Přitáhnout špičku a nataženou končetinu unožit do strany, střídat DK.
- Pokrčit DKK, chodidla na šířku boků, nádech volně, s výdechem zvednout špičky a patama zatlačit do podložky.
- Pokrčit DKK, mezi kolena je možné vložit balónek /polštářek/, nádech volně, s výdechem stáhnout hýždě a zatlačit koleny do balónku.
- Pokrčit DKK, chodidla na šířku boků, HKK podél těla, ramena tlačit do podložky, nádech nosem do břicha /pod pupek/, výdech s dlouhým výrazným ššššš, dolní žebra se stahují k pupku.
- DKK pokrčené, chodidla na šířku boků, HKK ohnout v loktech do pravého úhlu, lokty mírně od těla, pěsti směřují ke stropu, nádech volně, s výdechem zatlačit ramena a lokty do podložky.
- „Modlení“ – dlaně proti sobě před tělem, lokty od sebe, mezi dlaně je možné dát balónek, nádech volně s výdechem zatlačit dlaněmi proti sobě /stisknout balónek/.
- Pokrčit DK, dlaň stejnostranné ruky položit na koleno, nádech volně, s výdechem zatlačit proti sobě dlaní a kolenem. /Je možné cvičit i do kříže – pravá ruka - levé koleno/.
- Dechová vlna – v leže na zádech, nadechnout se postupně do břicha, pak do žeber, výdech postupně z břicha, pak z pod žeber.
- Vleže na boku, polštářek pod hlavu, tělo v rovině. Mírně pokrčené DKK, horní HK vzpažená a volně položená na hlavě, rozdýchávat žebra do stran /nahoru/.
- Vleže na boku, polštářek pod hlavu, tělo v rovině. Unožit dolní končetinu směrem ke stropu asi 20 cm, držet hýždě a břicho stažené, nevychýlit trup z osy těla.
- V leže na břiše, čelo lehce podložit, HKK do svícnu, zasunovat lokty směrem k tělu, ramena odtahovat od uší.
- Před zrcadlem v sedě, HKK postupně přes pohyb do svícnu až do vzpažení a zpět. Hlídat postavení ramen a hlavy.
- V sedě HKK postupně přes upažení až do vzpažení a zpět. Hlídat postavení ramen a hlavy.
- V sedě pokrčit HKK v lokti do pravého úhlu s dlaněmi dolů, postupně otáčet dlaně a z palci odtahovat HKK do „číšníka“. Hlídat postavení hlavy.
Stáhnout - Pooperační pokyny pro pacienty po operaci skoliozy
Pooperační pokyny pro pacienty po stabilizační operaci bederní páteře
Po operaci pacienti dodržují šetřící režim v bederním pásu, většinou na období 3 měsíců. Operovanou oblast nerozcvičovat. Zákaz úklonů, předklonů a rotačních (spirálových) pohybů páteře. Naučit se cvičební jednotku, pravidelně cvičit 2x denně a dbát pokynů a doporučení fyzioterapeuta a ošetřujícího personálu.
Vstávání z lůžka – vždy přetočením na bok s pokrčenými DKK (dolní končetiny) a zapnutým bederním pásem do stoje přecházet s napřímenou páteří jen s minimálním předklonem, důležitá je opora o DKK a práce stehenních svalů, nikdy nevstávat švihem - sklapovačkou.
Sed – na nezbytně nutnou dobu (jídlo, wc, atd.…) v rozmezí několika jednotek až desítek minut, podmínkou je sed vzpřímený (ne kulatá záda), nedoporučuje se dlouhodobá statická zátěž (např. 2 hodiny sedu u televize nebo v autě),nesedět s lokty opřenými o kolena.
Chůze a pohyby – vzpřímená chůze v bederním pásu, s uvolněnými rameny (nezvedat ramena k uším), chůze po schodech s přidržením zábradlí, neprovádět prudké pohyby, výskoky, rotační pohyby v bederní páteři, kulatý předklon - lze nahradit podřepem nebo nakročením jedné dolní končetiny s napřímenými zády, spodní prádlo a ponožky doporučujeme oblékat v leže na zádech nebo v sedě se vzpřímenými zády (možno využít navlékač ponožek) osobní hygienu provádět ve stoje s pokrčenými DKK nebo v sedu na židli, při sprchování ve stoje je možno krátkodobě bederní pás odložit.
Pomůcky – bederní pás – většinou na období 3 pooperačních měsíců, pokud je pacientovi doporučeno používat francouzské berle, nosí vždy obě berle (důležité pro odlehčení bederní páteře a pro správné držení těla), pacientům vyšších postav /170 cm/ doporučujeme na WC použít nástavec, koupelnu a vanu (sprchový kout) je vhodné vybavit protiskluzovou podložkou a madly, na spaní doporučujeme vyšší a spíše tvrdší lůžko.
Zvedání a nošení lehkých předmětů – do budoucna předměty ze země zvedat z podřepu a nikoliv z předklonu, je možno nosit nákup (základní potraviny) rozložený symetricky do obou rukou nebo využít batoh, v prvních 3 měsících max. 5kg.
Doporučená aktivita a sporty – určí operatér na první pooperační spondylochirurgické kontrole. Nedoporučuje se jednostranně přetěžující sporty jako je golf, tenis, sporty s otřesy, doskoky, prudkými pohyby a rotacemi trupu, nedoporučují se těžší práce na zahradě jako je rytí, kosení kosou apod, vždy však záleží na individuálním posouzení, na kvalitě svalového korzetu a na intenzitě zátěže.
Sexuální život – volit vhodnou polohu, která nepůsobí bolest (spíše v leže na zádech), s větší aktivitou partnera.
Cvičení – bezprostředně po operaci pod vedením fyzioterapeuta, dechová a cévní cvičení, cviky zaměřené na posílení svalového korzetu, na zlepšení funkce hlubokého stabilizačního systému (břišní svaly, pánevní svaly, hluboké svaly zad), protažení zkrácených svalů, balanční cvičení, cvičení je nutno pravidelně opakovat do kontroly spondylochirurga, minimálně 2x denně 3 měsíce. Cviky provádět do bolesti, pomalu, plynule bez pérovacích a dotahovacích pohybů, kontraindikací jsou ROTAČNÍ cviky a PŘEDKLON k zemi.
Prevence vertebrogenních potíží do budoucna – dodržovat pokyny operatéra a fyzioterapeuta, pravidelně cvičit, nepřetěžovat páteř nevhodnými pohybovými stereotypy, pravidelně opravovat své držení těla, nezvedat těžká břemena, nesetrvávat dlouhodobě ve statické zátěži (dlouho nesedět – často střídat sed, stoj, chůzi).
Stáhnout - Pooperační pokyny pro pacienty po stabilizační operaci bederní páteře
Instruktážní videonávod ke cvičení po operaci
1. Cvičení po operaci páteře - v leže na zádech 1. část
2. Cvičení po operaci páteře - v leže na zádech 2. část
3. Cvičení po operaci páteře - v leže na zádech 3. část
4. Cvičení po operaci páteře - v leže na zádech 4. část
5. Cvičení po operaci páteře - v leže na boku
6. Cvičení po operaci páteře - v leže na břiše
7. Cvičení po operaci páteře - v sedě
8. Vstávání a lehání do lůžka po operaci meziobratlové ploténky
9. Vstávání a lehání do lůžka po stabilizaci páteře
